鏡を見たら歯に黒い点がある。
「これって虫歯?でも、まだ様子見でいいのかな……」
そんな不安を抱えたまま受診を先延ばしにしてしまう人は、とても多いです。
この記事では、虫歯の見分け方と、「どこまでが様子見で、どこから受診が必須か」を、歯科医師の立場から分かりやすく解説します。
ただし、先に大事なことを1つだけ申し上げると、自分で完璧に虫歯かどうか診断することはほぼ不可能です。
虫歯の見分け方を知ることは大事ですが、最終的な診断はレントゲンや器具を使う歯科医院でしかできません。「この記事を読んで、少しでも不安が残るなら受診」を、ひとつの目安にしてください。
これって虫歯?すぐに見分けるセルフチェック【見た目編】

虫歯になると、歯の色や質感の変化が起こります。そのため、ある程度はセルフチェックが可能です。
ただし、症状が軽いほど自覚しにくく、色や痛みだけで正確に進行度を判断することは困難です。そのため、あくまで早めの受診につなげるための目安として読んでください。
白く濁っている(初期う蝕=脱灰)
歯の表面のエナメル質が溶け始めると、ツヤがなくなり、白く濁ったような白斑(ホワイトスポット)として見えます。他にも以下のような症状が見られます。
- 痛みはない
- 表面はまだつるつるしていることが多い
- 歯磨きでは消えない
この段階は初期の虫歯であり、歯を削らずに進行抑制できる可能性が高いタイミングです。
茶色い点や線は要注意!進行中の可能性

歯の溝や側面にできる茶色い点や線は初期から中等度の虫歯でよく見られるサインです。
他にも以下のような症状が出てくることがあります。
- 表面が軽くざらつく
- 食べ物が詰まる
- 冷たいものや甘いものでしみることがある
ただし、着色汚れの場合もあるため、茶色=すべて虫歯とは限りません。そのため、自己判断が難しい部分でもあります。
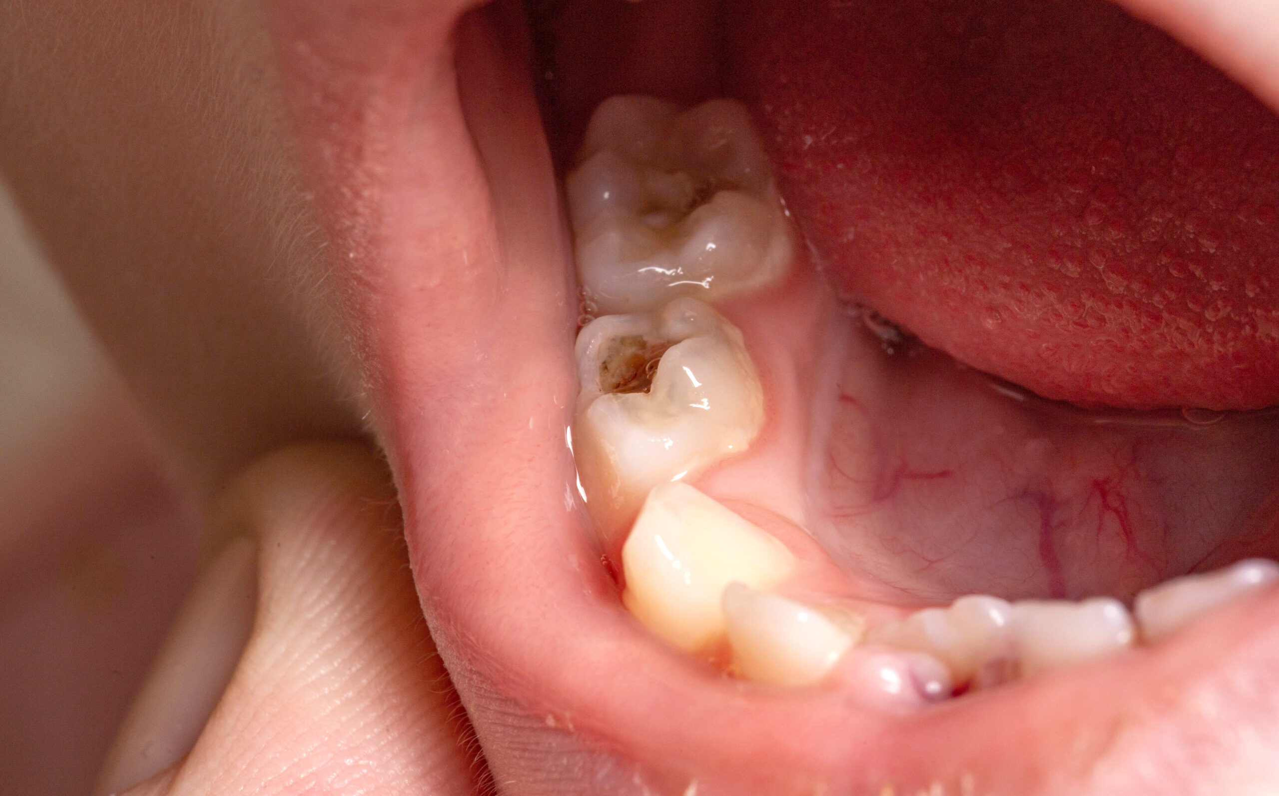
黒くなっているなら中期以降の虫歯

歯がはっきりと黒く見える場合はエナメル質の下で虫歯が広がっている可能性が高いです。黒い点は小さくても、歯の内部で大きく広がっているケースがあります。
他にも以下のような症状が出ることがあります。
- 表面がざらざらしている
- 歯が柔らかく感じることがある
- 冷たいものや甘いものでしみる
黒い虫歯は進行が進んでいる可能性が高いため、早めの受診が必要です。
穴が空いているなら進行した虫歯の可能性あり

歯に穴が開いている場合は、エナメル質が溶け虫歯が内部まで進行している状態です。
以下のような症状が出ることがあります。
- 食べ物が詰まりやすい
- かむと痛い
- 甘いものがしみる
- 冷たいものや熱いもので痛みがでる
一度穴が開いた歯は自然に治ることはありません。詰め物や被せ物での治療が必要になります。
歯に穴が開いている場合は虫歯の可能性が極めて高いため、早めの受診をおすすめします。
詰め物のフチが黒いと虫歯再発の疑い

以前治療した歯の詰め物と歯の境目が黒く見える場合、詰め物の下で虫歯が進んでいる可能性があります。
見た目はわずかな変色でも、内部で広範囲に虫歯が広がっていることがあるため、注意が必要です。
また、このタイプの虫歯は、自分で気が付くのがとても難しいです。二次カリエスは進行が早いことがあるため、早めのチェックが必要です。
見た目では見分けられない!?“隠れ虫歯”ができやすい場所
鏡で見ても問題なさそうなのに、「噛むと痛い」「同じ場所だけしみる」「フロスが引っかかる」といった症状がある場合、見えないところで虫歯が進んでいる可能性があります。
特に次のような所は、見た目が問題なさそうでも隠れて虫歯になりやすい部位です。
歯と歯の間(最も気が付きにくい)
隠れ虫歯のほとんどが、歯と歯の間(隣接面)で起こります。
次のような特徴があります。
- 見た目ではほぼわからない
- 初期では痛みも出ない
- フロスがほつれる、ひっかかるのがサイン
歯と歯の間の虫歯はレントゲンでしか分からないことが多く、自分で見つけるのはほぼ不可能です。
歯ぐきとの境目
歯ぐきに近い部分は歯垢が溜まりやすく、白っぽく濁っているだけに見えても内部で虫歯が進んでいることがあります。
他にも次のような特徴があります。
- しみる
- ざらざらしている
- 歯磨きしても変化しない白さが続く
痛みが出にくい場合もあるため、注意が必要です。
詰め物や被せ物の中
治療済みの歯の詰め物や被せ物の下で虫歯が進んでしまうことがあります。
こうした虫歯は二次カリエスと呼ばれ、次のような特徴があります。
- 詰め物や被せ物自体は変化がないため、外見はきれい
- 噛んだ時に痛むことがある
- 内部が大きく溶けると歯が折れることがある
見た目だけでは気が付くことができない虫歯の典型になります。
親知らず
親知らずは位置・向き・清掃性の悪さが重なりやすいため、隠れ虫歯が非常に起こりやすい場所です。
一番奥にある親知らずは歯ブラシが届きにくく、歯の周囲に食べかすや細菌が残りやすい構造になっています。
さらに、親知らずの生え方は個人差が大きく、斜め・横向き・半分だけ(半埋伏)など、さまざまな状態になりやすいのが特徴です。
その結果、次のような見えない部分に虫歯が発生しやすくなります。
| 手前の奥歯(第二大臼歯)との隙間 | 親知らずが斜め・横向きだと、歯と歯の間に清掃困難な空間ができ、見えないまま虫歯が進行します。 |
|---|---|
| 親知らず自身の噛む面(咬合面) | 半埋伏の場合、噛む面の一部が歯ぐきに覆われているため溝に汚れが溜まりやすくなります。 |
また、親知らずの周囲は歯ぐきや粘膜が覆う部位が多く、鏡でも見えにくいため、虫歯が進行していても自分で気付くことはほぼ不可能です。
隠れ虫歯が疑われる症状
隠れ虫歯を疑うシグナルは次のようなものが当てはまります。
- いつも同じ場所がしみる
- フロスが毎回同じ場所でひっかかる、ほつれる、切れる
- 噛んだ時に痛む
- しみる症状が数日~1週間続く
こうした症状がある場合は、見た目に変化がなくても早めに受診すると安心です。
これって虫歯の症状?他との見分け方【症状編】

しみる、ズキッとする、噛むと痛いなどの症状は、虫歯だけでなく知覚過敏や噛み合わせの問題などでも起こります。
ただし、症状の出方にはある程度の傾向があります。
ここでは、どの症状が何に当てはまりやすいかについて説明します。自己判断は難しい部分ですが、受診の目安として役立ててください。
甘いもので痛い(甘味痛):虫歯・知覚過敏
チョコレートやキャラメル、ジュースなど、甘さそのものがしみる場合は、虫歯か知覚過敏の可能性があります。
これは甘味痛とも呼ばれ、甘いものを口にした際に食べ物の糖分が神経に刺激を伝えることで起こります。
虫歯と知覚過敏のどちらでも起こりますが、判断のポイントは痛みの持続時間です。
- 虫歯:10秒以上続く、じんわり痛む
- 知覚過敏:数秒でおさまる
甘いもので毎回しみるような場合は一度歯科医院で診察してもらうことをおすすめします。
冷たいものでしみる(冷水痛):虫歯・知覚過敏
冷たい氷やアイスクリームで歯がキーンとしみるのは、虫歯と知覚過敏のどちらの可能性もあります。
こちらも甘味痛同様、虫歯はしばらく痛みが続くのに対し、知覚過敏の場合は数秒で収まることが多いです。
自己判断は難しいため、冷たいもので歯がしみる場合は早めに受診して診断を受けることが重要です。
噛むと痛い(咬合痛):虫歯、歯の亀裂、歯周病、噛み合わせの不調和
嚙んだ時に痛みを感じる場合は、以下のようないくつかの原因が考えられます。
- 虫歯
- 歯のヒビや破折
- 歯周病
- 噛み合わせの不調和
噛んだ時に痛みを感じる場合は、原因を特定し適切な処置を行う必要があります。そのため、放置することなく歯科医院の受診をおすすめします。
温かいもので痛い(温熱痛):虫歯(歯髄炎)、知覚過敏
温かい食事や飲み物でしみたり痛みを感じる場合は、虫歯(歯髄炎)か知覚過敏の可能性があります。
虫歯が神経に近い部分まで進行すると歯髄炎とよばれる神経の炎症が起こります。歯髄炎になると、温かいものでもしみるようになります。一般的に、冷たいものより熱いものがしみるほうが、虫歯が深い傾向にあります。
また、知覚過敏でも温かいものでしみる場合があります。ですが、痛みは一過性で、長時間続かないことが多いです。
歯髄炎だった場合は緊急性が高いため、温かいもので痛みを感じる場合はすぐに受診しましょう。
何もしていないのにズキズキと痛む(自発痛):重度の虫歯
何もしていないのに強い痛みを感じる場合は、進行した虫歯の可能性が高いです。
- 寝ているときにズキズキと痛む
- じっとしていても痛い
- 脈打つように痛い
こうした痛みがある場合、虫歯が神経まで到達している可能性が高いです。早急に根っこの治療(根管治療)を行う必要があるため、すぐに受診しましょう。
ここで、これまでの症状と考えられる原因についてまとめます。
| 症状 | 原因 |
|---|---|
| 甘いもので痛い(甘味痛) | 虫歯、知覚過敏(一過性) |
| 冷たいもので痛い(冷水痛) | |
| 噛むと痛い(咬合痛) | 虫歯、歯の亀裂、歯周病、噛み合わせの不調和 |
| 温かいもので痛い(温熱痛) | 虫歯(歯髄炎)、知覚過敏(一過性) |
| 何もしていないのにズキズキ痛い(自発痛) | 重度の虫歯 |
「虫歯かも?」と思ったらどうすればいい?

「まだ大丈夫かも」「痛くなくなったから様子見でいいかな」
症状がつらくないからと放置していると、気が付かないうちに虫歯はどんどん進行していきます。受診の時期を誤ってしまうと、治療が大規模かつ長期になりがちです。
ここでは、症状別の受診のタイムリミットと歯科で何を調べるのかをまとめます。
今すぐ(当日~数日以内)に受診すべき症状
緊急性が高く、今すぐ歯科医院に行くべき症状は以下のようなものがあります。
- 歯に穴が開いている
- 温かいものでしみる
- 何もしていないのにズキズキする
- 噛むと強い痛みがある
- 歯ぐきが腫れて痛い、膿が出る
- 詰め物や被せ物が取れた
こういった場合は放置すると虫歯がさらに進行し、強い痛みに代わる可能性があります。
早期に対応することで、今後の治療の負担が大きく変わっていきます。
1~2週間以内に受診したい症状
緊急性は高くないものの、放置すると悪化しやすいレベルの兆候は以下のようなものが当てはまります。
- 黒い点、茶色い溝がある
- 舌で触るとざらざらする
- フロスが毎回同じ場所で引っかかる、ほつれる、切れる
- 甘いものがしみる
- 冷たいものがしみる
このような症状は初期から中等度の虫歯でよくみられます。
上記の症状がある場合は、2週間以内に歯科医院を受診することをおすすめします。
次の定期健診でよいケース
しばらく様子をみてもよいケースには、以下のようなものが当てはまります。
- 白い斑点が少しあるが、痛みや変化がない
- 一時的にしみたが、数日で収まった
- 着色が気になる
ただし、歯の色や症状に少しでも変化が出た場合は、すぐに受診する必要があります。
虫歯を放置するとどうなる?
虫歯を放置すると、以下のような順番で悪化していきます。
重度の虫歯は激しい痛みや、口腔周囲の感染症を引き起こす可能性もあるので、虫歯があると自覚している場合は放置せず受診しましょう。
詳しくは、「虫歯の放置は危険?自然に治る?起こりうる症状や治療法を紹介」をご覧ください。
歯科医院で行う虫歯のチェック内容
歯科医院では以下のような検査を行い、見た目ではわからない部分までしっかりと診査します。
視診
鏡や探針と呼ばれる器具を用いて、次のような項目を確認していきます。
- 色、質感、ツヤの変化
- 詰め物の境界の状態
- ざらつきや穴、段差の有無
レントゲン検査
レントゲン撮影検査によって、以下のようなことが分かります。
- 歯と歯の間の虫歯の有無
- 詰め物や被せ物の下の状態
- 虫歯の進行度(神経までの距離)
歯の内部まで見ることができるため、レントゲンは虫歯の検査に欠かせないものです。
光学機器によるチェック(歯科医院による)
専用の光学機器を用いてレーザー光を当てることによって、虫歯の進行度を評価できます。
代表的なものとして、ダイアグネント、ダイアグノカムと呼ばれる機器があります。これらの光学機器は、レントゲン検査や視診でも確認しにくいような小さな虫歯も高精度に検知することができるといった利点があります。
ただし、全ての歯科医院にこのような光学機器が設備されているわけではありません。そのため、ホームページなどで確認する必要があります。
虫歯かな…?と思ったら永田歯科医院へ

永田歯科医院は、虫歯治療はもちろん、インプラントなど良質な治療を行う東京都立川市柏町にある歯医者です。当院なら、虫歯なのか気になる歯の状態を的確に確認し、治療が行えます。
当院の虫歯治療の特徴
- 「歯科用レーザー」を使った痛みがほとんどない治療
- 「睡眠無痛治療」で不安や恐怖心を取り除ける
- 「短期集中治療」で何度も通院の必要はなし
ドリルではなくレーザー治療により、強い殺菌力で短い時間で治療でき、歯質も強化できます。麻酔は必要ありません。
「笑気ガス」や「睡眠無痛治療」の導入で、患者の不安や恐怖を取り除く治療環境を整えています。短期集中治療なので、忙しい方でも安心して治療ができます。
虫歯の疑いがあるなら、すぐに当院へご相談ください。
\専門家と一緒に最適な計画を立てましょう/
まとめ:虫歯の見分け方は難しい!歯科医院に相談しよう

虫歯は、以下のように歯の色の変化、質感の変化、穴が開くといった変化を引き起こします。
- 白く濁っている(初期虫歯=脱灰)
- 茶色い点や線がある
- 黒くなっている
- 歯に穴が開いている
- 詰め物のフチが黒い
このような見た目の変化に加え、以下のような症状がある場合は虫歯になっている可能性が高いです。
- 甘いものや冷たいものがしみる
- 噛むと痛い
- 温かいもので痛い
- 何もしていないのにズキズキと痛む
また、見た目で分からない隠れ虫歯も珍しくありません。特に歯と歯の間や詰め物・被せ物の下は、気が付かないまま虫歯が進行してしまうことがあります。
虫歯が軽度のうちに受診すれば治療は簡単で、歯を残すことができます。「もしかして虫歯かもしれない」と感じた時が、実はもっとも治療に適したタイミングです。
歯の気になる変化やしみる症状が続く場合は、早めに歯科医院でチェックすることをおすすめします。
- 手術自体の痛みが不安で、踏み切ることができない
- 治療がうまくいくかどうか、長期的に問題なく使えるかが不安
- どの医師に治療を任せるべきか選ぶのが難しい
そんなあなたには、オールオン4の治療を専門に行う、東京都立川市柏町にある「永田歯科医院」がおすすめです!
- オペ中の痛みや恐怖心等を感じない「睡眠無痛治療」を実施しています。
- インプラントには10年間の保証が付いておりますので、ご安心ください。
- 埋入実績5,000本以上の経験豊富な医師が治療します。
まずはお気軽にご相談ください。
\専門家と一緒に最適な計画を立てましょう/

